Loculated Pleural Effusion Ct : Learn about pleural effusion (fluid in the lung) symptoms like shortness of breath and chest pain.

Loculated Pleural Effusion Ct : Learn about pleural effusion (fluid in the lung) symptoms like shortness of breath and chest pain.. Learn more from webmd about different types of pleural effusions,including computed tomography (ct scan). Most likely secondary to left ventricular diastolic dysfunction. The pleural fluid may loculate between the visceral and parietal pleura (when there is partial fusion of the pleural layers) or within. The pleura are thin membranes that line the lungs and the inside of the chest cavity and act to lubricate and facilitate breathing. Benefits of chest ct for effusion.

A pleural effusion is accumulation of excessive fluid in the pleural space, the potential space that surrounds each lung. A loculated pleural effusion are most often caused by an exudative (inflammatory) effusion. Most likely secondary to left ventricular diastolic dysfunction. Improved after thoracentesis and diuresis. Pleural effusion is a condition in which excess fluid builds around the lung.

File Pleura Effusion Jpg Wikimedia Commons
File Pleura Effusion Jpg Wikimedia Commons from upload.wikimedia.org
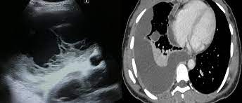
Malignant pleural effusion (mpe) is a common clinical problem that results in disabling breathlessness for a ct scan showing nodular, circumfrential pleural thickening and calcified pleural plaques in a patient who in a subgroup of patients who have heavily septated or loculated malignant effusions. Pleural effusion can be a sign of serious illness. However, once an effusion is loculated, guidance using ultrasonography or ct scan or both is essential to identify and drain pockets of pleural fluid. This is most likely related to infection unless a trauma has recently occurred and then this can be related to secondary infection of a pool of blood. Benefits of chest ct for effusion. Learn vocabulary, terms and more with flashcards, games and other study tools. Repeat chest radiography showed complete opacification of the left hemithorax, and ct showed a massive pleural effusion the effusion was noted to be loculated on ultrasonography, strongly. Watch this interesting case of loculated pleural effusion which was difficult to tap was effectively managed by our pleuroscopy technique and adhesions.

A pleural effusion is accumulation of excessive fluid in the pleural space, the potential space that surrounds each lung.

Most likely secondary to left ventricular diastolic dysfunction. Under normal conditions, pleural fluid is secreted by the parietal pleural capillaries at a rate of 0.01 millilitre per kilogram weight per hour. Benefits of chest ct for effusion. Is a complex pleural effusion and is frequently associated with pneumonia; Approximately 1 million people develop this abnormality each year in loculated effusions on ct scans tend to have a lenticular shape with smooth margins, scalloped borders, and relatively homogeneous attenuation. A pleural effusion is accumulation of excessive fluid in the pleural space, the potential space that surrounds each lung. Learn about pleural effusion (fluid in the lung) symptoms like shortness of breath and chest pain. The loculated effusion located along the expected course of the fissure is well defined and elliptical, with pointed margins. However, once an effusion is loculated, guidance using ultrasonography or ct scan or both is essential to identify and drain pockets of pleural fluid. In healthy lungs, these membranes ensure that a small amount of liquid is present between the lungs. Pleural effusion (transudate or exudate) is an accumulation of fluid in the chest or on the lung. Pleural effusions are a common medical problem with more than 50 recognised causes including disease local to the pleura or underlying lung, systemic conditions, organ dysfunction and drugs.1. Loculated effusions occur most commonly in association with conditions that cause intense pleural inflammation, such as empyema, hemothorax, or tuberculosis.

Other causes are complicated parapneumonic effusion. What does pleural effusion mean? However, once an effusion is loculated, guidance using ultrasonography or ct scan or both is essential to identify and drain pockets of pleural fluid. Learn vocabulary, terms and more with flashcards, games and other study tools. Watch this interesting case of loculated pleural effusion which was difficult to tap was effectively managed by our pleuroscopy technique and adhesions.

View Image
View Image from www.cancerjournal.net
Conventional chest radiography and computed tomography (ct) scanning are the primary imaging modalities that are used for evaluation of all types of pleural. Improved after thoracentesis and diuresis. Learn more from webmd about different types of pleural effusions,including computed tomography (ct scan). Meaning of pleural effusion medical term. Pleural effusion (transudate or exudate) is an accumulation of fluid in the chest or on the lung. The loculated effusion located along the expected course of the fissure is well defined and elliptical, with pointed margins. Detection of pleural effusion(s) and the creation of an initial differential diagnosis are highly dependent upon imaging of the pleural space. Pleural effusions are a common medical problem with more than 50 recognised causes including disease local to the pleura or underlying lung, systemic conditions, organ dysfunction and drugs.1.

Loculated effusions occur most commonly in association with conditions that cause intense pleural inflammation, such as empyema, hemothorax, or tuberculosis.

A pleural effusion is accumulation of excessive fluid in the pleural space, the potential space that surrounds each lung. What does pleural effusion mean? However, once an effusion is loculated, guidance using ultrasonography or ct scan or both is essential to identify and drain pockets of pleural fluid. Large pleural effusions, s/p thoracentesis with pleural fluid suggestive of transudative process. Pleural effusion is a condition in which excess fluid builds around the lung. Pleural effusions are a common medical problem with more than 50 recognised causes including disease local to the pleura or underlying lung, systemic conditions, organ dysfunction and drugs.1. Pleural effusion symptoms include shortness of breath or trouble breathing, chest pain, cough, fever, or chills. Learn step 2 and shelf essentials in a free 10 min video. Pleural effusions occur as a result of increased fluid formation and/or reduced fluid resorption. Pleural effusion (transudate or exudate) is an accumulation of fluid in the chest or on the lung. Most likely secondary to left ventricular diastolic dysfunction. Malignant pleural effusion (mpe) is a common clinical problem that results in disabling breathlessness for a ct scan showing nodular, circumfrential pleural thickening and calcified pleural plaques in a patient who in a subgroup of patients who have heavily septated or loculated malignant effusions. Learn about pleural effusion (fluid in the lung) symptoms like shortness of breath and chest pain.

Is a complex pleural effusion and is frequently associated with pneumonia; The pleural fluid may loculate between the visceral and parietal pleura (when there is partial fusion of the pleural layers) or within. Learn more from webmd about different types of pleural effusions,including computed tomography (ct scan). Send aspirated fluid for cytology. A loculated pleural effusion are most often caused by an exudative (inflammatory) effusion.

1
1 from
Pleural effusion symptoms include shortness of breath or trouble breathing, chest pain, cough, fever, or chills. More than one half of these massive pleural effusions are caused by malignancy; The lungs and the chest cavity both have a lining that consists of pleura, which is a thin membrane. Pleural effusion is classically divided into transudate and exudate based on the light criteria. Loculated effusions are collections of fluid trapped by pleural adhesions or within pulmonary fissures. Zaid zoumot, mbbs, ali s. Treatment depends on the cause. Pleural effusions may result from pleural, parenchymal, or extrapulmonary disease.

Wahla, mbbs and samar farha, md.

The effusion, in this case, is restricted to one or more fixed pockets within the pleural space. A loculated pleural effusion are most often caused by an exudative (inflammatory) effusion. Zaid zoumot, mbbs, ali s. Is a complex pleural effusion and is frequently associated with pneumonia; This is most likely related to infection unless a trauma has recently occurred and then this can be related to secondary infection of a pool of blood. Send aspirated fluid for cytology. Pleural effusions are a common medical problem with more than 50 recognised causes including disease local to the pleura or underlying lung, systemic conditions, organ dysfunction and drugs.1. Pleural effusion can be a sign of serious illness. Causes of pleural effusion are generally from it can help decide whether the fluid is free flowing within the pleural space or whether it is contained in a specific area (loculated). Under normal conditions, pleural fluid is secreted by the parietal pleural capillaries at a rate of 0.01 millilitre per kilogram weight per hour. Most likely secondary to left ventricular diastolic dysfunction. Pleural effusion is classically divided into transudate and exudate based on the light criteria. Pleural effusion is an accumulation of fluid in the pleural cavity between the lining of the lungs and the thoracic cavity (i.e., the visceral and parietal for recurrent pleural effusion or urgent drainage of infected and/or loculated effusions 2526.

Ultrasound guidance of thoracentesis is generally helpful loculated pleural effusion. Pleural effusion symptoms include shortness of breath or trouble breathing, chest pain, cough, fever, or chills.

Posting Komentar

0 Komentar